1. Izolația
Endodonția modernă se desfășoară cu izolare, laser și magnificare. Dacă nu folosim izolare, nu putem vorbi despre endodonție propriu-zisă, deoarece interiorul dintelui este contaminat cu sânge și salivă din cavitatea orală, care deține cea mai complexă floră bacteriană a organismului uman.
Izolarea se realizează cu folia de digă – o folie subțire de latex fixată pe dintele tratat cu ajutorul unei cleme, pentru a-l separa complet de restul cavității orale. Astfel, lucrăm în condiții optime de sterilitate și control, într-un regim asemănător celui chirurgical.
Innovation Medical Center oferă tratamente endodontice laser, cu tehnologie la nivelul anului 2026, fiind lider în România în stomatologia laser. Innovation Medical Center este centru asociat și partener european al Sigmund Freud University Viena și al AALZ Germania, fiind afiliat ISLD, ceea ce garantează practici clinice aliniate standardelor academice și științifice internaționale în stomatologia laser și terapia ATM.
2. Magnificarea
Al doilea element esențial este microscopul. Lucrăm în cea mai mică cavitate din corpul uman, iar pentru un tratament corect este esențial să vedem clar structurile interne. Anatomia endodontică este complexă, cu numeroase variații morfologice și canale colaterale.
Dacă aceste canale nu sunt vizibile, ele nu pot fi tratate, ceea ce duce frecvent la eșecuri.
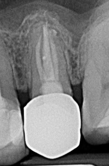
Exemplu: Un premolar doi superior – în mod obișnuit cu un singur canal – a fost tratat de două ori fără succes. Sub microscop s-au identificat trei canale, fapt care explică recidiva. Pe radiografia postoperatorie se observă obturația tridimensională completă a tuturor canalelor și prezența unor puncte albe în treimea rădăcinii, corespunzătoare canalelor colaterale tratate și obturate corect.
3. Laserul
Al treilea element – și probabil cea mai mare revoluție în endodonția modernă – este laserul. În endodonție se utilizează în principal două lungimi de undă: Erbium și laserul diodă.
a. Laserul Erbium
Laserul Erbium are o lungime de undă absorbită simultan în hidroxiapatită și apă. Acesta emite impulsuri extrem de scurte și intense, care generează fenomenul de cavitație, producând o presiune negativă în interiorul dintelui.
Această presiune ajută la golirea canalelor principale și colaterale mai eficient decât orice metodă clasică. La momentul impactului se formează și o undă de șoc, care sparge biofilmul bacterian și determină colapsul celulelor infectate.
Biofilmul este una dintre cele mai mari provocări în endodonție, fiind o matrice de bacterii stratificată și rezistentă la agenții chimici. În endodonția convențională, hipocloritul de sodiu elimină doar bacteriile cu care intră în contact. Prin utilizarea laserului Erbium, biofilmul este dislocat și eliminat complet, facilitând distrugerea bacteriilor din profunzime.
Totodată, absorbția în molecula de apă duce la evaporarea explozivă a acesteia, eliberând radicali liberi OH, cu puternic efect bactericid.
b. Laserul diodă
După utilizarea Erbiumului, se folosește laserul diodă, a cărui lungime de undă este absorbită în melanină pigment prezent în membranele celulare ale multor bacterii.
Prin iradiere, temperatura intracelulară crește rapid, determinând colapsul și distrugerea bacteriilor. Rezultatul este o dezinfectare superioară față de metodele convenționale.
Un avantaj suplimentar al laserului îl reprezintă selectivitatea: energia este absorbită specific de melanină, dar poate penetra dentina până la 1 cm, permițând distrugerea bacteriilor aflate în zone inaccesibile mecanic – inclusiv în canaliculele dentinare.
Canaliculele dentinare, componente microscopice ale structurii dentinei, pot adăposti bacterii adânc infiltrate. În endodonția clasică, penetrarea hipocloritului de sodiu este limitată la aproximativ 0,3 mm, în timp ce infecțiile profunde pot depăși 1 mm.
Laserele diodă, prin absorbția în melanină, pot distruge eficient bacteriile până la 1 mm adâncime, crescând semnificativ șansele de succes terapeutic.
O bacterie deosebit de rezistentă este Enterococcus faecalis, dificil de eliminat cu hipoclorit. Deși are conținut scăzut de melanină, efectul combinat de șoc termic și undă de presiune produs de Erbium permite distrugerea acesteia.
4. Cazuri clinice
Caz 1 – Premolar superior cu trei canale
Premolarul doi superior, tratat anterior de două ori fără izolare, microscop sau laser, a recidivat. Datorită microscopiei, s-au descoperit trei canale, o raritate (incidență 0,5–1%). Radiografia postoperatorie arată obturația completă tridimensională, inclusiv a canalelor colaterale, realizată cu ajutorul laserului Erbium, care a asigurat curățarea integrală a sistemului endodontic.
Caz 2 – Molar inferior cu șase canale
Un molar unu inferior care părea radiologic standard s-a dovedit, sub microscop, a avea șase canale, un caz extrem de rar. Fără magnificare, aceste canale nu ar fi putut fi detectate, ceea ce ar fi dus la recidivă cu probabilitate foarte mare.
Caz 3 – Molar inferior cu perforație și depășire
Cazul prezenta o perforație și o depășire cu conul de gutapercă, care ar fi impus în mod normal o intervenție chirurgicală. Datorită izolării corecte cu digă Nic Tone și utilizarea celor două lasere, dezinfectarea a fost superioară, zona nu s-a infectat, iar conul depășit apare perfect integrat la radiografia efectuată la 18 luni postoperator.
Caz 4 – Molar superior cu rădăcini în sinusul maxilar
Un molar superior cu rădăcini în sinusul maxilar a fost perforat accidental de catre alt medic în timpul primei intervenții (fără microscop), creând o comunicare directă cu sinusul. În endodonția convențională, acest caz ar fi fost considerat netratabil, întrucât lucrul cu hipoclorit de sodiu în sinus este imposibil. Alternativa clasică ar fi fost extracția, sinus lift-ul și implantul – o procedură complexă și de durată.
In clinica noastra, laserul a permis salvarea dintelui, deoarece s-a lucrat doar cu apă și lumină, fără substanțe iritante pentru sinus. Perforația a fost închisă cu un ciment biocompatibil și bactericid, iar dintele a fost restaurat protetic. La CT-ul de control la 9 luni, sinusul maxilar apare complet curat și vindecat.
Întrebări frecvente despre tratamentele endodontice moderne
Pentru a evita contaminarea dintelui cu salivă sau sânge și pentru a lucra într-un mediu complet steril.
Nu. Laserul este blând, precis și reduce mult inflamația și durerea postoperatorie.
Pentru că ne permite să vedem canale ascunse sau foarte fine care altfel ar fi imposibil de tratat.
Curăță și dezinfectează în profunzime canalele, eliminând bacteriile și biofilmul.
Nu. Acționează selectiv doar asupra bacteriilor și țesuturilor infectate, fără a afecta structurile sănătoase.
Da, în multe cazuri laserul permite salvarea dinților care altădată trebuiau extrași.
De obicei o singură ședință.
Dezinfectare mai profundă, vindecare mai rapidă, reducerea disconfortului și a riscului de reinfecție.
Da, tehnologia permite aplicarea pe toate tipurile de dinți, inclusiv cei cu acces dificil sau anatomie complexă.
La fel ca un dinte natural sănătos, dacă este restaurat corect și igiena este menținută.
Index de termeni – Endodonția modernă
Biofilm – strat microscopic de bacterii organizate într-o matrice protectoare; se formează pe suprafețele interne ale canalelor dentare și este greu de îndepărtat prin metode clasice.
Biocompatibil – material sau substanță care este bine tolerată de organism, fără a provoca reacții adverse.
Bactericid – agent care distruge bacteriile (spre deosebire de bacteriostatic, care doar le inhibă).
Canalicule dentinare – microcanale prezente în structura dentinei, care fac legătura între camera pulpară și exteriorul dintelui; pot fi căi de pătrundere pentru bacterii.
Cavitație – fenomen fizic produs de impulsurile laserului în lichid (apă), care generează bule de vapori și presiune negativă, facilitând curățarea și dezinfectarea canalelor.
Digă – folie subțire de latex sau material similar, fixată pe dinte cu o clemă, pentru a-l izola complet de restul cavității bucale în timpul tratamentului.
Endodonție – ramură a stomatologiei care se ocupă cu tratamentul interiorului dintelui (camera pulpară și canalele radiculare).
Hidroxiapatită – mineral natural care constituie componenta principală a smalțului și dentinei; absoarbe energia laserului Erbium.
Magnificare – termen tehnic pentru procesul de mărire optică prin microscop sau lupă, care permite vizualizarea detaliilor invizibile cu ochiul liber.
Restaurare protetică – refacerea dintelui tratat endodontic printr-o coroană sau alt element protetic, pentru a-i reda forma și funcția corectă.
Autor:
Dr. Thomas Mendel – Medic Dentist cu 20 Ani de experiență – Specializare în Microscopia Endodontics Laser – LSO (Laser Safety Officer) AALZ Aachen Germany, Master in Laser Dentistry Competence S.F.U. Vienna

















