Durerile de cap repetate, tensiunea gâtului sau senzația de presiune în urechi sunt simptome comune. Mulți pacienți ajung la neurolog sau ORL, fac investigații care ies normale și pleacă fără un răspuns clar. Există o cauză frecvent ignorată pentru că nu doare direct în zona ei – articulația maxilarului.
Această articulație se numește articulația temporo-mandibulară, prescurtat ATM. Ea face legătura dintre maxilar și craniu și este una dintre cele mai solicitate articulații din corp.
Innovation Medical Center este Centrul de Terapie și disfuncții ATM, cu tehnologie digitală la nivelul anului 2026, lider în România în tratamentele laser minim invazive, cu echipă medicală specializată în tratamente Articulatiei Temporo-Mandibulare (ATM). Innovation Medical Center este centru asociat și partener european al Sigmund Freud University Viena și al AALZ Germania, fiind afiliat ISLD (International Society for Laser Dentristry) , ceea ce garantează practici clinice aliniate standardelor academice și științifice internaționale în stomatologia laser și terapia ATM.
Ce este disfuncția ATM
Disfuncția ATM apare atunci când articulația, mușchii sau structurile din jur nu mai funcționează corect. Nu este o problemă rară. Afectează persoane de toate vârstele și apare frecvent la cei care scrâșnesc din dinți, au stres constant sau probleme de postură.
Durerea nu apare întotdeauna la nivelul maxilarului. De multe ori se manifestă la distanță.
Simptome care pot indica o problemă a articulației maxilarului
-durere de cap frecventă, mai ales dimineața
-durere de gât sau rigiditate cervicală
-durere de ureche fără infecție
-amețeli sau senzație de presiune în cap
-pocnituri la deschiderea gurii
-blocaj al maxilarului
-scrâșnit din dinți noaptea
-oboseală facială
Dacă aceste simptome persistă este indicată o evaluare a articulației temporo-mandibulare.
De ce multe investigații ies normale?
RMN-ul și radiografiile arată structura, dar nu explică întotdeauna durerea. Disfuncția ATM este, în multe cazuri, o problemă funcțională. Articulația poate arăta normal, dar să funcționeze incorect. De aceea, diagnosticul corect presupune investigații care analizează funcția nu doar imaginea statică.
Termografia facială, un prim semn obiectiv
Termografia măsoară diferențele de temperatură la nivelul feței și gâtului. În disfuncția ATM apar zone mai calde sau mai reci, semn al inflamației sau al suprasolicitării musculare. Este o investigație rapidă, fără iradiere și utilă pentru a demonstra că durerea are o bază obiectivă.
Evoluția tratamentului poate fi urmărită obiectiv cu ajutorul termografiei. În cazul pacienților cu disfuncție ATM, imaginile realizate înainte de terapie arată frecvent zone de temperatură crescută la nivelul articulației și musculaturii. După ședințele de tratament, diferențele devin vizibile: distribuția temperaturii se uniformizează, iar zonele de supraîncărcare se reduc. Această modificare confirmă scăderea inflamației și îmbunătățirea funcției, oferind atât medicului, cât și pacientului o dovadă clară și măsurabilă a eficienței terapiei.
Termografie facială initială partea stânga
Termografie facială după tratamentul laser partea stângă.
Termografie facială initială partea dreaptă
Termografie facială după tratamentul laser partea dreaptă
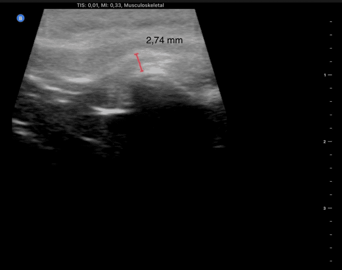
Ecografia ATM. Articulația văzută în mișcare
Ecografia articulației temporo-mandibulare permite evaluarea dinamică a articulației în timpul deschiderii și închiderii gurii. Este o metodă nedureroasă și poate fi repetată pentru monitorizare.
Prin ecografie se pot observa:
-inflamația locală
-poziția discului articular
-asimetria între cele două articulații
-modul real în care se mișcă maxilarul
Evaluarea forței de mușcătură. Dezechilibrele care întrețin durerea
Un element important în evaluarea disfuncției ATM este măsurarea forței de mușcătură. Mulți pacienți apasă mai mult pe o parte a maxilarului fără să își dea seama, mai ales în timpul somnului, când apare scrâșnitul din dinți.
Forța de mușcătură globală si diferența de forță între partea stângă și dreaptă
Aceste dezechilibre nu pot fi observate pe radiografii sau RMN, dar pot fi măsurate precis cu sisteme digitale moderne. Analiza arată diferențele de forță între partea stângă și dreaptă, modul real în care se închide maxilarul și dacă articulația sau mușchii sunt suprasolicitați.
Informațiile obținute ajută la stabilirea unui tratament personalizat și la adaptarea corectă a gutierei funcționale astfel încât presiunea pe articulația maxilarului să fie redusă și simptomele să scadă progresiv.
Cum se tratează disfuncția ATM
Tratamentul modern nu se limitează la calmarea durerii. Scopul este restabilirea funcției normale.
În funcție de caz, se folosesc:
-terapie laser cu mai multe lungimi de undă, fiecare cu rol diferit
-splint/gutieră dentară
-laser-acupunctură, auriculo-terapie prin electropunctura
-relaxarea musculaturii suprasolicitate
-reducerea inflamației articulare
-normalizarea controlului neuromuscular
Terapia modernă cu laserul medical Thor
Terapia laser modernă folosită în disfuncția ATM nu se bazează pe o singură aplicare standard, ci pe combinația controlată a mai multor tipuri de lumină terapeutică – mai exact lungimi de undă diferite, fiecare cu rol țintit asupra durerii, inflamației și tensiunii musculare. Această abordare unică realizată cu ajutorul laserului medical Thor permite acțiunea atât la suprafață, cât și în profunzime acolo unde articulația și mușchii sunt tensionați. Rezultatul este o reducere mai rapidă a durerii, o relaxare musculară eficientă și o recuperare funcțională mai bună, fără proceduri invazive sau perioade lungi de pauză.
Tot mai des trendul în tratamentul ATM este reprezentat de evaluarea și tratamentul multidisciplinar realizate de echipe formate din medic stomatolog, medic de recuperare medicală, medic chirurg oro-maxilo-facial și medic ORL în centre specializat. Innovation Medical Center evaluează fiecare caz integrat oferind o analiză completa asupra cauzelor apoi metodelor de tratament.
Laser-terapie ATM la Innovation Medical Center
În completarea terapiei laser, în unele cazuri se poate apela la acupunctura laser și auriculopunctura cu electrostimulare, metode moderne, non-invazive, utilizate în managementul disfuncției ATM. Particularitatea acestor tehnici constă în posibilitatea de a modula răspunsul nervos implicat în controlul mișcărilor mandibulare și al percepției durerii prin protocoale personalizate adaptate fiecărui pacient. Integrarea lor într-un plan terapeutic complex permite optimizarea rezultatelor, scurtarea timpului de recuperare și creșterea confortului pacientului fără proceduri invazive sau perioade de întrerupere a activităților zilnice.
Dacă simptomele persistă și nu ai un diagnostic clar o evaluare realizată de un medic specialist în articulația temporo-mandibulară poate face diferența. Disfuncția ATM este frecventă, obiectiv măsurabilă și, cu abordarea corectă, tratabilă eficient pe termen lung.
Programează-te pentru o evaluare completă
📍 București – www.innovationmedical.ro
📞 0753 666 111
Autor: Dr. Anca Adam, Medic Specialist in Medicina Fizica si de Reabilitare, compartiment recuperare neurologică și disfuncții ATM/TMJ, Expert Acupunctură Laser & Competenta Medicina Traditionala Chineza (Tai Yuan China), Termografie Medicală (Barcelona, Spania) – LSO (Laser Safety Officer) AALZ Aachen Germania.

















